October 23, 2025

Diabetic Retinopathy

What Is Diabetes and how does it affect the human body?

Diabetes is a chronic metabolic condition that affects how the body regulates blood sugar (glucose). When glucose levels remain high over time, it can damage blood vessels and nerves throughout the body. This damage can lead to serious complications, including cardiovascular disease, kidney problems, and vision disorders such as diabetic retinopathy. Maintaining proper blood sugar control through diet, exercise, and medication is crucial for preventing these long-term effects.

What Is Diabetic Retinopathy?

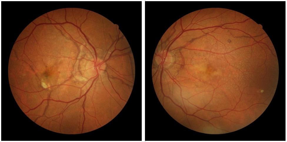
Diabetic retinopathy is an eye condition caused by damage to the small blood vessels in the retina—the light-sensitive tissue at the back of the eye. It is one of the leading causes of preventable blindness among adults worldwide. High blood sugar levels cause these vessels to leak or become blocked, reducing oxygen supply to the retina and triggering abnormal new vessel growth. Without timely diagnosis and management, vision loss may occur.

What are the stages of Diabetic Retinopathy?

There are two main types of diabetic retinopathy:
• Non-proliferative: This is the early stage of the disease where vessels in the retina leak blood or fluid. The blood components result in swelling of the retina with the formation of deposits (exudates)
• Proliferative: In this stage, pathological new blood vessels develop in the retina due to extensive blockage (ischemia) of normal vessels, leading to reduced blood supply to the photoreceptors. The retina’s response to reduced blood supply is the formation of pathological new vessels in ischemic areas
What are the symptoms of Diabetic Retinopathy?

In the early stages, diabetic retinopathy may have no symptoms at all. As the disease progresses, patients may notice blurred or fluctuating vision, dark spots or floaters, difficulty seeing at night, or even sudden vision loss. Regular eye examinations are essential, as early detection significantly improves treatment outcomes.

How Is Diabetic Retinopathy treated?

Effective management begins with strict control of blood sugar, blood pressure, and cholesterol. Depending on severity, ophthalmologists may use laser therapy to seal leaking vessels or inhibit new vessel growth. Intravitreal injections of anti-VEGF drugs or corticosteroids can reduce swelling and improve vision. In advanced cases, vitrectomy surgery may be required to remove blood or scar tissue from the eye. Early diagnosis, combined with comprehensive diabetes care, offers the best chance to preserve sight and maintain quality of life.

Chrysa Koutsiouki MD
Ophthalmic Surgeon
Specialized in Retinal Pathology, Uveitis & Cataracts
[email protected]